СтомРекоменд
Независимые стоматологические рекомендации


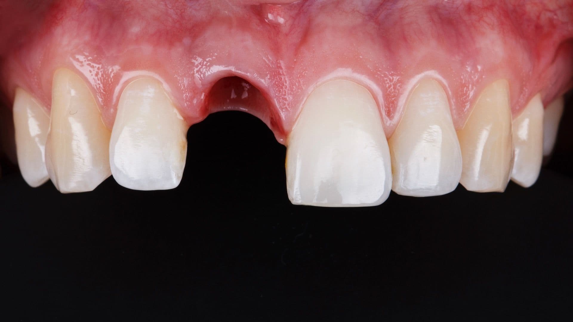
Виден имплант в десне: почему, что делать
Может ли обнажиться имплант после установки, нормально ли это.

Какая имплантация лучше: All-on-4 или All-on-6
Системы из 4 и 6 имплантов для восстановления всей челюсти целиком: что лучше.

Электронная сигарета после удаления зуба: какие последствия от курения
Можно ли курить не обычные, а электронные сигареты после операции: безопасно ли это.

Стоматит: когда пройдёт
Сколько держатся и болят белые язвочки во рту.

Как отбелить чёрный зуб
Как отбеливают зубы, ставшие коричневыми и чёрными

Киста зуба
Симптомы, лечение, последствия, – опасно ли это.

Может ли сломаться зубной имплант?
Как ломаются импланты: кто в этом виноват и что делать.

Почему зуб реагирует на холодное и горячее
Три причины болевой реакции зубов на температуру и что с этим делать.

Почему опухает зуб после удаления
Нормально ли, что десна распухает после удаления зуба, и когда это пройдёт.

Список лекарств и таблеток от зубной боли
Рекомендации и инструкции к таблеткам при боли в зубах, скорость действия, применение при беременности, дозы.

Избавление от кариеса в домашних условиях: можно ли его остановить и как?
Удалить кариес дома самому содой или щёткой, убрать боль, – возможно ли это? Ответы на конкретные вопросы.

Откололся кусочек зуба, что делать и надо ли это лечить?
В статье рассматриваются ситуации, когда откололся именно зуб – не коронка или зубной мост, – а свой родной зуб из эмали и дентина.